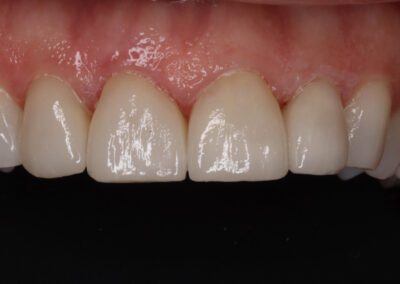
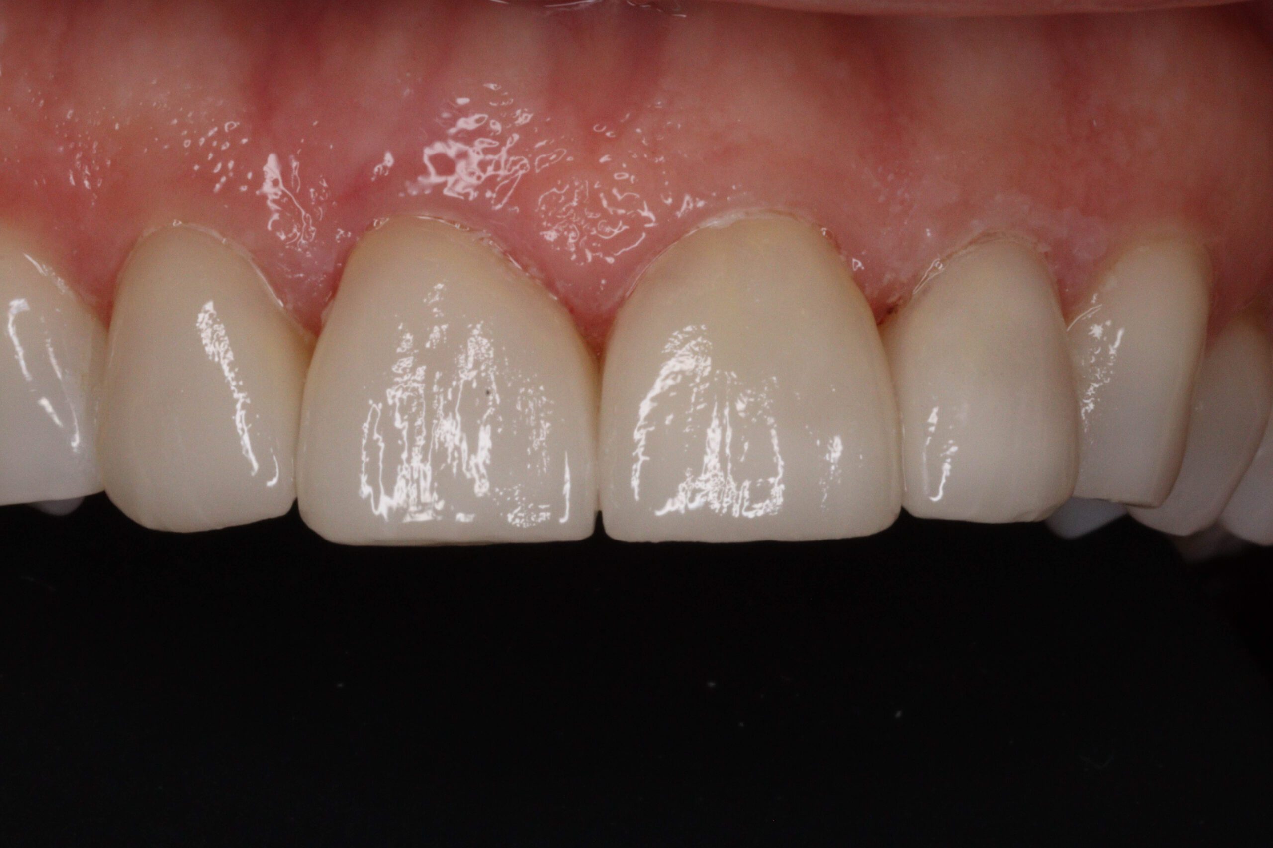
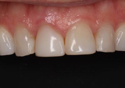
Estetisk tandvård
Hos oss på Citytandläkarna är målet med all tandvård att öka ditt välbefinnande. Vi vet också hur viktigt det är för både självkänslan och självförtroendet att vara nöjd med sina tänder. För många är sneda och missfärgade tänder en källa till osäkerhet och obehag i sociala situationer.
Vi använder oss av de bäst beprövade metoderna och den senaste tekniken för ett hållbart resultat.

