Tandbehandling, före- & efter

Här nedan kan du se resultatet av några olika behandlingar som vi utfört på vår praktik. Om du har några frågor så tveka inte att ta kontakt med oss.

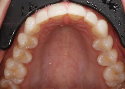
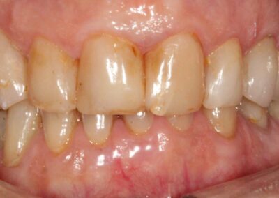
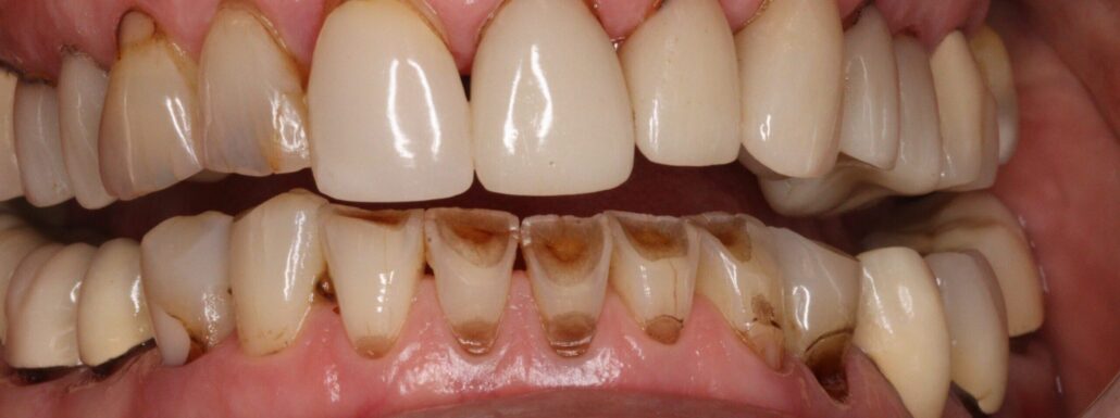
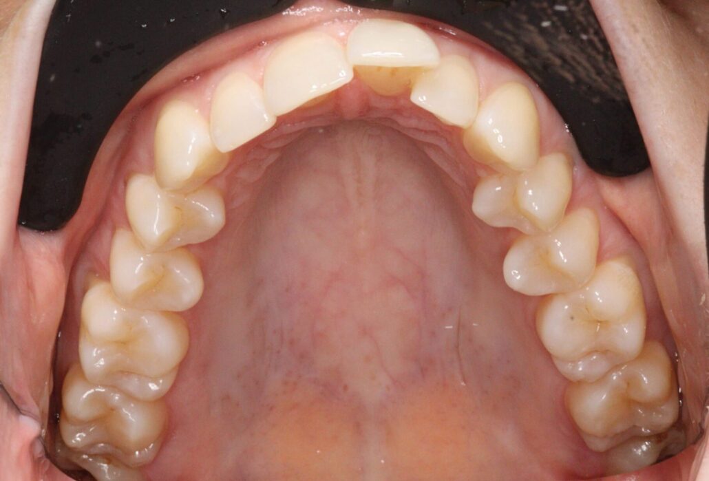
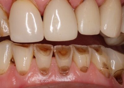
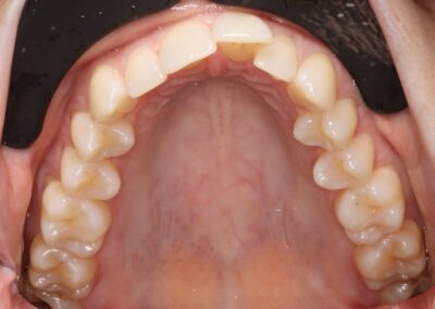
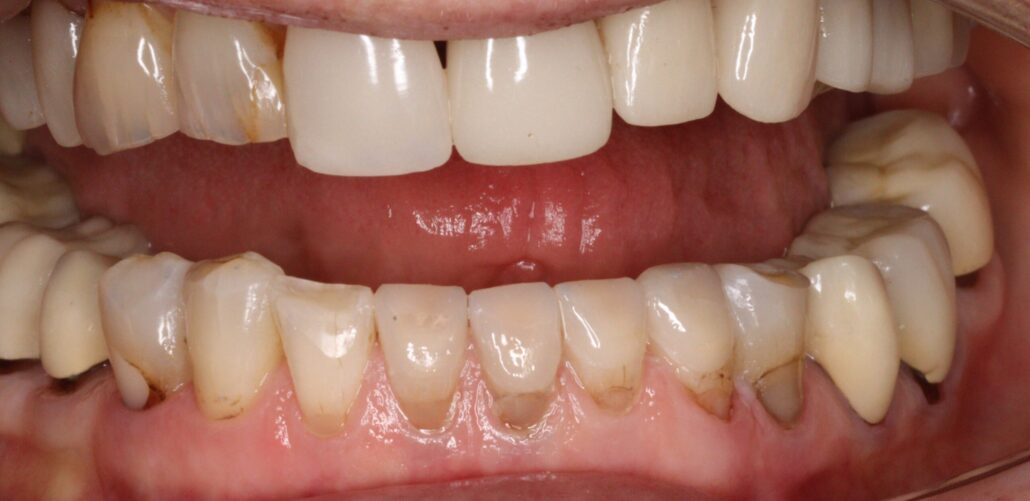
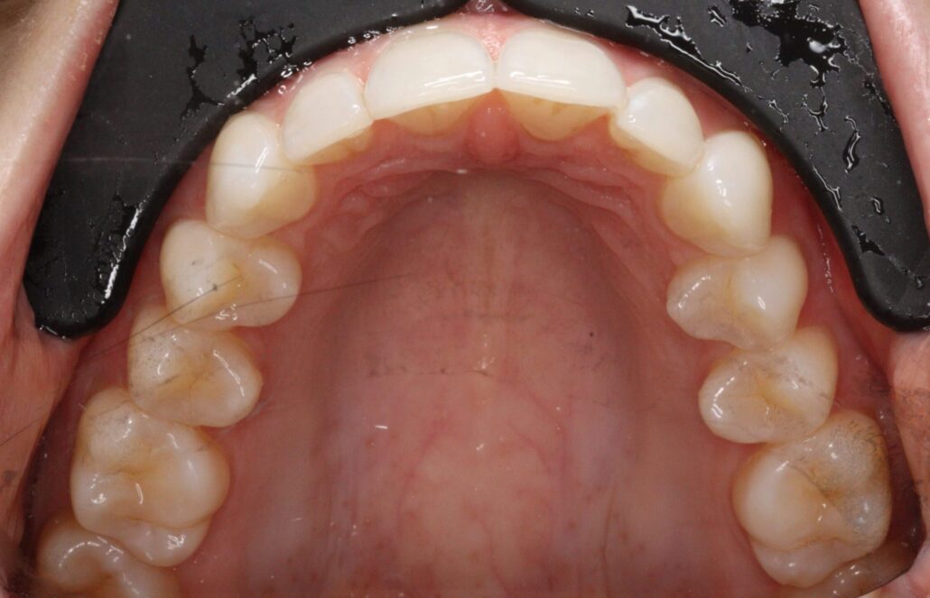
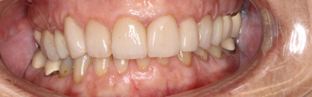
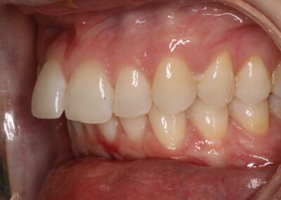
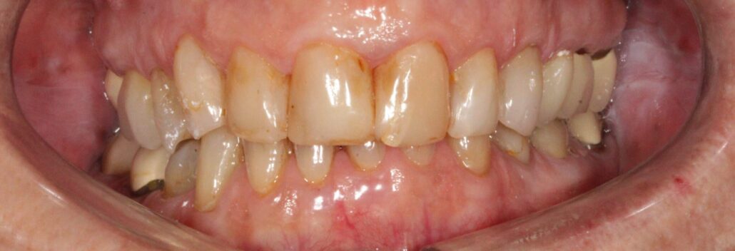
Behandling med kronor och eller broar

Patient med omfattande slitageproblematik, behandlad med porslinskronor.
Patient med större behandlings behov, kronor broar samt en delprotes.

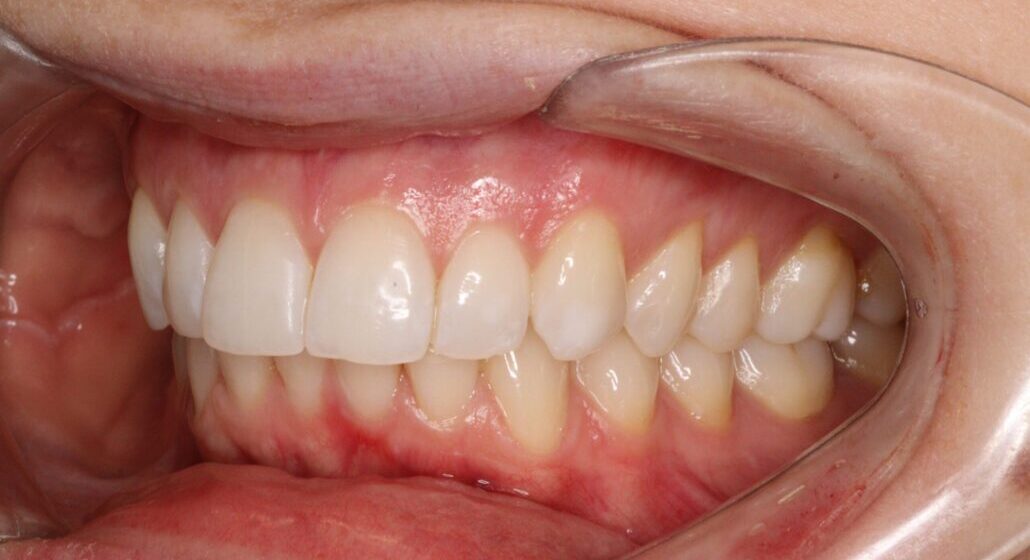
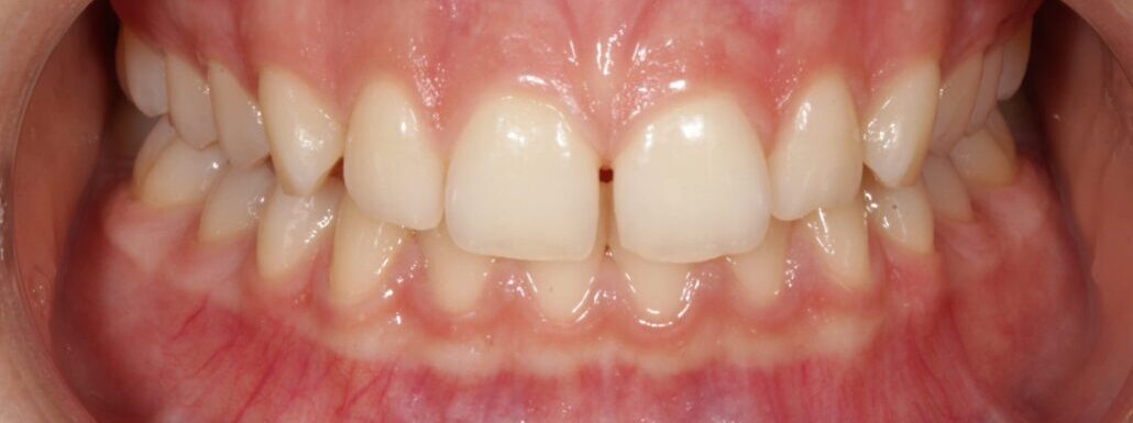
Tandreglering med ClearCorrect

Behandling med ClearCorrect i ca 5 månader patienten. CC

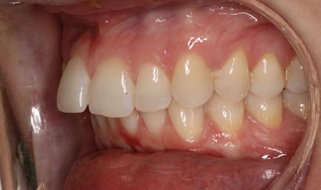
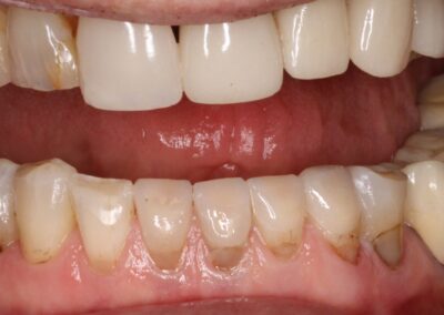
Allmäntandvård

Patienten kom för en vanlig undersökning med puts och tandstens borttagning. Enkel behandling med snabba resultat!

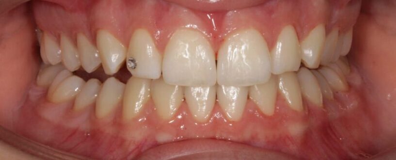
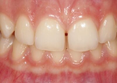
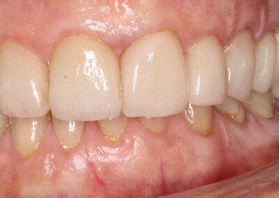
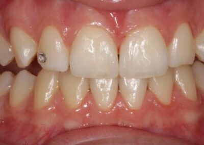
Estetisk Tandvård

Påbyggnad med komposit på en framtand för att minska mellanrummet och ljusa upp tanden.

Påbyggnad med komposit på fyra framtänder för att sluta oönskade mellanrum.
Resultatet efter påbyggnad med komposit (plastfyllningar).

Blekning